Viêm lợi ngày Tết phải làm sao? Hướng dẫn xử lý an toàn từ bác sĩ nha khoa
Tham vấn y khoa: Bác sĩ Chử Minh Toàn
Vì sao viêm lợi dễ bùng phát trong dịp Tết?

Theo bác sĩ chuyên khoa Răng – Hàm – Mặt tại Nha Khoa Tương Lai – MIRAI DENTAL, dịp Tết là thời điểm viêm lợi (viêm nướu) rất dễ xuất hiện hoặc tái phát do thói quen ăn uống và sinh hoạt bị xáo trộn. Việc ăn nhiều bánh kẹo, mứt Tết, uống bia rượu, thức khuya và lơ là vệ sinh răng miệng khiến mảng bám vi khuẩn tích tụ nhanh quanh cổ răng và nướu.
Khi phòng khám nha khoa nghỉ Tết, nhiều người lo lắng viêm lợi ngày Tết phải làm sao để giảm khó chịu và tránh biến chứng nặng hơn.
Trước Tết nên đi nha khoa kiểm tra gì? Tìm hiểu
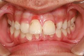
Dấu hiệu viêm lợi thường gặp trong ngày Tết
Dựa trên kinh nghiệm lâm sàng, Nha Khoa Tương Lai ghi nhận các dấu hiệu phổ biến gồm:
- Nướu sưng đỏ, dễ chảy máu khi đánh răng
- Cảm giác đau, ê hoặc căng tức vùng lợi
- Hơi thở có mùi hôi
- Lợi mềm, dễ bong khi chạm vào
- Có thể kèm sốt nhẹ hoặc mệt mỏi nếu viêm nặng
Việc nhận biết sớm giúp xử lý đúng cách và hạn chế tiến triển thành viêm nha chu.
Viêm lợi ngày Tết phải làm sao? Cách xử lý tạm thời tại nhà

1. Giữ vệ sinh răng miệng kỹ nhưng nhẹ nhàng
- Đánh răng ít nhất 2 lần/ngày bằng bàn chải lông mềm
- Chải nhẹ vùng cổ răng, tránh chà mạnh làm lợi tổn thương thêm
2. Súc miệng bằng nước muối loãng
- Súc miệng 2–3 lần/ngày bằng nước muối ấm
- Giúp giảm vi khuẩn, làm dịu vùng lợi viêm
3. Dùng chỉ nha khoa thay cho tăm xỉa răng
- Loại bỏ thức ăn mắc kẹt ở kẽ răng
- Tránh làm tổn thương lợi đang viêm
4. Hạn chế thực phẩm kích thích
- Giảm đồ ngọt, cay nóng, bia rượu
- Tránh hút thuốc lá vì làm tình trạng viêm nặng hơn
5. Nghỉ ngơi và uống đủ nước
Uống nhiều nước giúp làm sạch khoang miệng và hỗ trợ quá trình hồi phục mô lợi.
Những việc không nên làm khi bị viêm lợi
Bác sĩ Nha Khoa Tương Lai khuyến cáo không nên:
- Tự ý dùng kháng sinh hoặc thuốc bôi khi chưa có chỉ định
- Đắp thuốc nam, rượu thuốc trực tiếp lên lợi
- Chà xát mạnh hoặc dùng bàn chải cứng
- Chủ quan để viêm lợi kéo dài nhiều ngày
Những thói quen sai lầm này có thể khiến viêm lợi tiến triển thành viêm nha chu – bệnh lý răng miệng nguy hiểm.
Khi nào cần đi khám nha khoa sau Tết?
Bạn nên sắp xếp thăm khám sớm nếu:
- Lợi sưng đau không giảm sau vài ngày
- Chảy máu lợi nhiều khi đánh răng và sau khi thức dậy buổi sáng
- Hơi thở hôi kéo dài
- Có dấu hiệu tụt lợi hoặc răng lung lay
Việc điều trị sớm giúp bảo tồn răng thật và hạn chế biến chứng lâu dài.
Phòng ngừa viêm lợi hiệu quả trong dịp Tết
Theo khuyến nghị từ bác sĩ, để hạn chế viêm lợi trong ngày Tết, bạn nên:
- Duy trì thói quen vệ sinh răng miệng đều đặn
- Khám răng và lấy cao răng định kỳ
- Ăn uống điều độ, hạn chế đồ ngọt và bia rượu
Viêm lợi ngày Tết – Đừng chủ quan

Nha Khoa Tương Lai – MIRAI DENTAL nhấn mạnh rằng, viêm lợi là bệnh lý phổ biến nhưng hoàn toàn có thể kiểm soát nếu xử lý đúng cách. Việc áp dụng các hướng dẫn trên giúp giảm triệu chứng tạm thời trong dịp Tết, tuy nhiên thăm khám nha khoa sau kỳ nghỉ vẫn là bước quan trọng để điều trị triệt để.
Mọi nội dung trên website Nha Khoa Tương Lai đều được xây dựng dựa trên kiến thức y khoa và kinh nghiệm thực tế của đội ngũ bác sĩ chuyên môn, nhằm bảo vệ sức khỏe răng miệng lâu dài cho cộng đồng.
Thông tin liên hệ Nha khoa Tương Lai
Địa chỉ: 432 Lạch Tray, Đằng Giang, Ngô Quyền, Hải Phòng – 299 Trần Nguyên Hãn – Hải Phòng
Hotline: 0834 44 22 88
Email: nhakhoamirai@gmail.com
Website: nhakhoamirai.vn


