Cận Tết có nên lấy cao răng không? Giải đáp từ Nha Khoa Tương Lai – MIRAI DENTAL
Cuối năm, nhu cầu làm đẹp – chăm sóc sức khỏe răng miệng tăng mạnh để chuẩn bị đón Tết. Một trong những câu hỏi được tìm kiếm nhiều là:
cận Tết có nên lấy cao răng không? Lấy cao răng sát Tết có ê buốt không? Có ảnh hưởng ăn uống, sinh hoạt ngày Tết không?
Các bác sĩ tại Nha Khoa Tương Lai – MIRAI DENTAL sẽ giải đáp chi tiết ngay dưới đây.
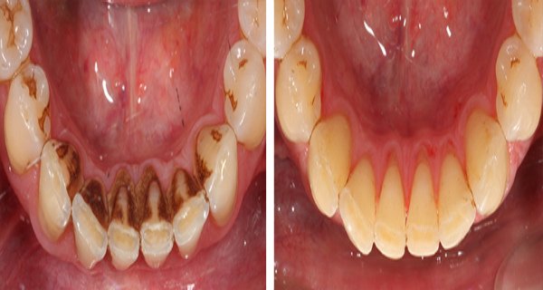
1.Cận Tết có nên lấy cao răng không? Cao răng là gì và vì sao cần lấy định kỳ?

Cao răng là mảng bám đã vôi hóa, hình thành từ:
Thức ăn thừa
Vi khuẩn trong khoang miệng
Khoáng chất trong nước bọt
Cao răng không thể làm sạch bằng bàn chải thông thường. Nếu để lâu, có thể gây:
Viêm nướu, chảy máu chân răng
Hôi miệng
Viêm nha chu, tiêu xương ổ răng
Ảnh hưởng thẩm mỹ khi cười nói
👉 Vì vậy, lấy cao răng định kỳ 3–6 tháng/lần là rất cần thiết.
Trước Tết nên đi nha khoa kiểm tra gì? Xem thêm.
2. Cận Tết có nên lấy cao răng không?
Câu trả lời là: RẤT NÊN.
Theo khuyến nghị của bác sĩ MIRAI DENTAL, cận Tết là thời điểm lý tưởng để lấy cao răng, vì:
Giúp răng miệng sạch sẽ, thơm tho khi gặp gỡ gia đình – bạn bè
Giảm nguy cơ viêm nướu, chảy máu trong những ngày ăn uống nhiều
Hạn chế hôi miệng khi giao tiếp
Chuẩn bị nền răng – nướu khỏe mạnh nếu có kế hoạch bọc răng sứ, niềng răng sau Tết
👉 Lấy cao răng không ảnh hưởng ăn Tết nếu thực hiện đúng kỹ thuật.
3. Lấy cao răng cận Tết có đau hay ê buốt không?
Nhiều người lo lắng lấy cao răng sát Tết có đau không. Thực tế:
Thủ thuật nhẹ nhàng, nhanh chóng (15–30 phút)
Không xâm lấn, không chảy máu nhiều
Ê buốt (nếu có) thường rất nhẹ và hết sau 1–2 ngày
Tại Nha Khoa Tương Lai – MIRAI DENTAL:
Sử dụng máy siêu âm hiện đại
Thao tác nhẹ nhàng, hạn chế ê buốt
Bác sĩ điều chỉnh phù hợp từng tình trạng răng – nướu
4. Sau khi lấy cao răng bao lâu thì ăn uống bình thường?
Sau 1–2 giờ: có thể ăn uống nhẹ
Sau 24 giờ: ăn uống hoàn toàn bình thường
Nướu khỏe sẽ nhanh chóng hồi phục nếu được chăm sóc đúng cách
👉 Vì vậy, lấy cao răng trước Tết 2–3 ngày là hoàn toàn yên tâm để ăn Tết.
5. Ai đặc biệt nên lấy cao răng trước Tết?
Bạn rất nên lấy cao răng cận Tết nếu:
Có cao răng nhiều, nướu sưng đỏ
Bị hôi miệng khi nói chuyện
Chảy máu chân răng khi đánh răng
Đã lâu (trên 6 tháng) chưa lấy cao răng
Chuẩn bị làm răng sứ, niềng răng hoặc implant
6. Lưu ý sau khi lấy cao răng dịp Tết
Để răng miệng khỏe mạnh, bạn nên:
Tránh đồ quá nóng hoặc quá lạnh trong 24 giờ đầu
Hạn chế rượu bia trong ngày đầu
Đánh răng nhẹ nhàng, đúng cách
Súc miệng nước muối hoặc dung dịch chuyên dụng
Duy trì tái khám và lấy cao răng định kỳ
7. Vì sao nên lấy cao răng cận Tết tại Nha Khoa Tương Lai – MIRAI DENTAL?
Bác sĩ giàu kinh nghiệm, thao tác nhẹ nhàng
Trang thiết bị hiện đại, đảm bảo an toàn
Quy trình rõ ràng, nhanh chóng
Chăm sóc răng miệng tổng quát trước – sau Tết
Không gian sạch sẽ, lịch làm việc linh hoạt dịp cuối năm
Kết luận
Cận Tết có nên lấy cao răng không?
👉 Câu trả lời là nên và rất nên. Lấy cao răng cận Tết giúp răng miệng sạch khỏe, hơi thở thơm mát, tự tin giao tiếp và ăn uống thoải mái trong những ngày Tết.
📌 Lời khuyên từ Nha Khoa Tương Lai – MIRAI DENTAL:
Bạn nên lấy cao răng trước Tết 2–7 ngày để răng – nướu ổn định và sẵn sàng đón Tết trọn vẹn.




