Trồng Răng Implant Xong Bị Dắt Thức Ăn Thì Phải Làm Sao?
Tham vấn y khoa: Bác sĩ CKI Chử Minh Toàn
Trồng răng Implant là phương pháp phục hình răng tối ưu giúp khôi phục chức năng ăn nhai và thẩm mỹ. Tuy nhiên, nhiều người gặp tình trạng trồng răng implant bị dắt thức ăn, gây khó chịu và có thể ảnh hưởng đến sức khỏe răng miệng. Vậy nguyên nhân do đâu và cách khắc phục như thế nào? Hãy cùng tìm hiểu!
I. Nguyên Nhân Trồng Răng Implant Bị Dắt Thức Ăn

- Khoảng hở giữa răng Implant và răng thật

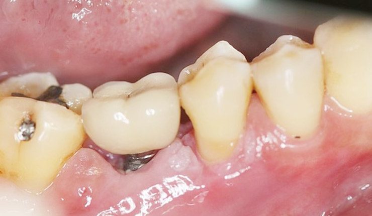
Sau trồng răng Implant sát khít với răng thật - Khi trồng răng Implant, cần đảm bảo khoảng cách giữa răng Implant và răng kế cận không quá rộng. Nếu thiết kế không sát khít, thức ăn dễ bị mắc vào.
- Nguyên nhân có thể do kỹ thuật lấy dấu không chính xác hoặc sai sót trong quá trình chế tác mão sứ.
- Ngoài ra, theo thời gian, nướu có thể bị tụt nhẹ, làm tăng khoảng hở giữa răng.
- Thiết kế mão sứ chưa chuẩn xác
- Mão sứ không ôm sát viền nướu hoặc có khe hở nhỏ giữa các răng sẽ khiến thức ăn dễ bị mắc vào.
- Nếu mão sứ quá to hoặc có đường viền không khớp hoàn toàn với viền nướu, sẽ tạo ra kẽ hở khiến thức ăn dắt vào dễ dàng.
- Thiết kế mặt nhai không đúng chuẩn cũng có thể gây mất điểm tiếp xúc với răng đối diện, làm giảm hiệu quả nhai và tăng nguy cơ dắt thức ăn.

Phần lợi xung quanh Implant chưa lành hoặc tụt lợi gây dắt thức ăn Mô nướu chưa hoàn toàn ổn định sau trồng răng Implant
- Sau khi cấy Implant, mô nướu cần thời gian để lành và ổn định.
- Trong một số trường hợp, mô nướu bị tiêu hoặc tụt do viêm nhiễm hoặc tác động lực nhai, khiến khoảng hở giữa răng Implant và răng thật tăng lên.
- Nếu nướu không được chăm sóc tốt, vi khuẩn có thể tích tụ, dẫn đến viêm nhiễm và làm mô mềm co rút, tạo thêm khoảng trống cho thức ăn mắc vào.
- Sự khác biệt giữa răng Implant và răng tự nhiên
- Răng thật có hệ thống dây chằng nha chu giúp tạo sự linh hoạt và thích nghi với các thay đổi nhỏ trong khớp cắn.
- Răng Implant được cố định chắc chắn vào xương hàm mà không có dây chằng nha chu, dẫn đến việc tiếp xúc giữa răng Implant và răng thật có thể thay đổi theo thời gian, gây dắt thức ăn.
- Sai lệch trong khớp cắn
- Nếu răng Implant không được phục hình với khớp cắn chính xác, lực nhai không phân bố đều, có thể làm nướu bị tổn thương và tạo ra kẽ hở.
- Một số trường hợp, răng sứ trên Implant bị lệch nhẹ so với trục nhai lý tưởng, gây mất cân bằng và làm thức ăn dễ mắc vào hơn.
- Viêm quanh Implant gây tiêu xương
- Nếu không vệ sinh răng miệng đúng cách, vi khuẩn có thể phát triển quanh trụ Implant, gây viêm nướu và viêm quanh Implant.
- Khi viêm kéo dài, xương quanh Implant có thể bị tiêu, dẫn đến tụt nướu, lộ ra khoảng hở và làm tăng nguy cơ mắc thức ăn.
Tìm hiểu thêm: Mất răng có cần trồng lại không?
II. Cách Khắc Phục Tình Trạng Trồng Implant Bị Dắt Thức Ăn
1. Điều Chỉnh Khoảng Hở Giữa Răng Implant và Răng Thật
- Nếu khoảng hở quá lớn, bác sĩ có thể thực hiện phục hình lại mão sứ để đảm bảo sự kín khít giữa các răng.
- Sử dụng phương pháp hàn trám hoặc thiết kế lại tiếp xúc giữa các răng để hạn chế mắc thức ăn.
2. Điều Chỉnh Mão Sứ
- Nếu mão sứ không khít hoặc có sai lệch về kích thước, bác sĩ sẽ điều chỉnh hoặc thay mới để đảm bảo khớp cắn và sự kín khít với nướu.
- Kiểm tra điểm tiếp xúc giữa răng Implant và răng thật để hạn chế khoảng hở.
3. Hỗ Trợ Ổn Định Mô Nướu
- Tăng cường chăm sóc răng miệng để hạn chế viêm nhiễm gây tụt nướu.
- Trong trường hợp cần thiết, bác sĩ có thể ghép nướu để cải thiện tình trạng mô mềm quanh răng Implant.
4. Điều Chỉnh Khớp Cắn
- Nếu khớp cắn bị sai lệch, bác sĩ sẽ tiến hành mài chỉnh hoặc thiết kế lại mão sứ để đảm bảo sự cân đối trong lực nhai.
- Kiểm tra tình trạng mài mòn của răng sứ để kịp thời điều chỉnh.
5. Điều Trị Viêm Quanh Implant (Nếu Có)

- Nếu có dấu hiệu viêm nhiễm, bác sĩ sẽ tiến hành vệ sinh sâu quanh trụ Implant.
- Trong trường hợp tiêu xương nghiêm trọng, có thể cần ghép xương hoặc mô nướu để khắc phục.
6. Sử Dụng Chỉ Nha Khoa và Tăm Nước Sau Khi Trồng Răng Implant
- Dùng chỉ nha khoa để làm sạch kẽ răng Implant và răng bên cạnh.
- Sử dụng máy tăm nước để loại bỏ thức ăn mắc kẹt ở những vị trí khó tiếp cận.
Khi Nào Cần Đến Bác Sĩ?
Nếu tình trạng dắt thức ăn kéo dài kèm theo các dấu hiệu như viêm nướu, đau nhức, hôi miệng hoặc khó chịu khi ăn nhai, bạn nên đến gặp bác sĩ nha khoa càng sớm càng tốt để kiểm tra và điều chỉnh kịp thời.
III.Tác Hại Khi Trồng Răng Implant Bị Dắt Thức Ăn
- Viêm nhiễm và hôi miệng: Mảng bám từ thức ăn mắc kẹt có thể gây viêm nướu, viêm quanh Implant và dẫn đến hơi thở có mùi khó chịu.
- Tiêu xương và mất Implant: Viêm nhiễm kéo dài có thể làm tiêu xương quanh Implant, ảnh hưởng đến độ bám chắc của trụ Implant trong xương hàm.
- Gây khó chịu khi ăn nhai: Tình trạng này có thể khiến bạn cảm thấy vướng víu, không thoải mái khi ăn uống, làm giảm chất lượng cuộc sống.
- Ảnh hưởng đến răng kế cận: Viêm nhiễm không chỉ ảnh hưởng đến răng Implant mà còn có thể lây lan sang các răng xung quanh, gây hại cho sức khỏe răng miệng tổng thể.
Lời Kết
Trồng răng Implant là giải pháp bền vững để phục hồi răng mất, nhưng cần đảm bảo quá trình thực hiện chính xác và chăm sóc đúng cách để hạn chế tình trạng dắt thức ăn. Nếu bạn gặp vấn đề này, hãy áp dụng các biện pháp khắc phục trên hoặc thăm khám nha khoa định kỳ để bảo vệ sức khỏe răng miệng.
Nếu bạn cần tư vấn thêm về răng Implant, hãy liên hệ với nha khoa Tương Lai – MIRAI DENTAL để được hỗ trợ kịp thời!



